August 22, 2022
Category: COVID-19 Vaccine
Democrat Megadonor Parts Ways With Party Over COVID Vaccine Data!
August 20, 2022
New Jersey Governor Ends Key COVID-19 Mandate for Unvaccinated Teachers, State Workers…
August 16, 2022
California’s Proposed Vaccine Laws Will Circumvent Parental Rights: Medical Freedom Group
August 16, 2022
Why Long COVID and Vaccine Injuries Look so Similar: Expert Explains
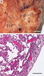
August 15, 2022
New Science, Multiple Reports: COVID-19 Vaccine Causes Lung Blockages!
August 13, 2022
29 Percent of Young Pfizer COVID Vaccine Recipients Suffered Heart Effects: Study
August 10, 2022
Vaccination Program Fallout: Immune Imprinting, All-Cause Mortality Spikes!
August 6, 2022
COVID-19 Vaccines Hinder the Immune System, Lead to More Severe Illness: Dr. Robert Malone
August 6, 2022
The Great Vaccine Scare Reaches Fever Pitch!
August 5, 2022
